±ÙÀ°À» ÀÌ¿ëÇÑ ±Ùº»Àû ±³Á¤Ä¡·á!

Ä¡·á»ç·Ê

home > Ä¡·á»ç·Ê

Ä¡·á»ç·Ê

ÁÖ°ÆÅÎ ±³Á¤ - 48¼¼ Á߳⠳²¼º (ºñ¼ö¼ú ÁÖ°ÆÅÎ Ä¡¾Æ±³Á¤)

°ü¸®ÀÚ ¦¢ 2025-09-27

HIT

334

ÁÖ°ÆÅÎ ±³Á¤ ³ªÀ̰¡ ¸¹¾Æµµ ¹®Á¦ ¾øÀ»±î?



48¼¼ ³²ÀÚ È¯ÀÚ ºÐÀ̽ʴϴÙ.

¾Æ·¡ÅÎÀÌ ¾ÕÀ¸·Î ³ª¿Â ÁÖ°ÆÅÎ ¶§¹®¿¡

¹Ù¸¥ÇØÄ¡°ú¸¦ ¹æ¹®Çϼ̽À´Ï´Ù.

³ªÀ̰¡ ¸¹¾Æ¼­

±³Á¤Ä¡·á°¡ µÉ±î

°ÆÁ¤À» ¸¹ÀÌ Çϼ̴µ¥¿ä.

´Ù¸¥ º´¿ø¿¡¼­ ¾ç¾Ç¼ö¼úÀ» ±ÇÀ¯ ¹Þ¾ÒÁö¸¸

µµÀúÈ÷ ¾ç¾Ç¼ö¼úÀº ¸øÇÒ °Í °°¾Æ¼­ °í¹ÎÀ» ÇϼÌÁö¸¸

ºñ¼ö¼ú ÁÖ°ÆÅÎ ±³Á¤Ä¡·á·Î

°Ç°­Çϰí

¾ÈÀüÇϰÔ

Àß Ä¡·áµÇ¾ú½À´Ï´Ù.



³ªÀ̰¡ ¸¹´Ù´Â Á¡ÀÌ

ºñ¼ö¼ú ÁÖ°ÆÅÎ ±³Á¤Ä¡·á¸¦ Çϴµ¥¿¡

Áß¿äÇÑ °ÍÀº ¾Æ´Ï°í

Á¦ÀÏ Áß¿äÇÑ °ÍÀº

Çô´Â ´Ã ÀÔõÀå¿¡ ºÙ¾îÀÖ°í

ÀÔ¼úÀ» ´Ù¹°°í

ÄÚ·Î ¼ûÀ» ½¬´Â °ÍÀ»

À¯ÁöÇÏ´Â

ÁÁÀº ±¸°­±Ù±â´ÉÀÌ È®º¸µÇ´Â °ÍÀÔ´Ï´Ù.


ÁÖ°ÆÅÎ ±³Á¤ÀÇ ¿ø¸® ¹× Ä¡·á »ç·Ê

ºñ¼ö¼ú ÁÖ°ÆÅÎ ±³Á¤Ä¡·á ÀüÈÄÀÇ

¿·¾ó±¼ ¿¢½º·¹ÀÌ ÀÔ´Ï´Ù.

ÀÌ È¯ÀÚºÐÀÇ °æ¿ì¿¡´Â

ÀÔÀ» ´Ù¹°°í ÄÚ·Î ¼ûÀ» ½®´Ù´Â °ÍÀÌ

Á¤»óÀûÀÎ ±¸°­±Ù±â´ÉÀ̶ó´Â »ý°¢ÀÌ

¾øÀ¸¼Ì½À´Ï´Ù ¤Ð¤Ð

Ä¡¾Æ´Â ¾ÈÂÊÀÇ Çô¿Í

¹Ù±ùÂÊÀÇ ÀÔ¼ú, »´ÀÌ ±ÕÇüÀ» ÀÌ·é °÷¿¡

À§Ä¡ Çϱ⠶§¹®¿¡

°¡¸¸È÷ ÀÖÀ» ¶§

ÀÔ¼úÀ» Àß ´Ù¹°°í

ÄÚ·Î ¼ûÀ» ½¬´Â °ÍÀÌ

¸Å¿ì Áß¿äÇÕ´Ï´Ù.

±×·¸Áö ¸øÇÒ °æ¿ì

Ãà ´Ã¾îÁø Çô°¡ ¾Æ·¡ Ä¡¿­À» ÀüÈÄ, Á¿ì·Î ³ÐÈ÷°Ô µÇ¾î

¾Æ·¡ Æø°æÀÌ ³Ð¾îÁö°í

ÀüÈķεµ ÁÖ°ÆÅÎÀ¸·Î ¾ÕÂÊÀ¸·Î ³ª¿À°Ô µË´Ï´Ù.


ºñ¼ö¼ú ÁÖ°ÆÅÎ ±³Á¤Ä¡·á¸¦ ÇÒ¶§¿¡µµ

ÀÌ·¯ÇÑ Á¡À» ÀÌ¿ëÇÏ¿©

ÁÁÀº ÇôÀÇ À§Ä¡¿¡

ÀÔ¼úÀ» Àß ´Ù¹°°í

ÄÚ·Î ¼ûÀ» ½¬´Â °ÍÀÌ Àͼ÷ÇØÁöµµ·Ï Çϸ鼭

±³Á¤Ä¡·á¸¦ ÇÏ´Â °ÍÀÌ

¸Å¿ì Áß¿äÇÕ´Ï´Ù.

¾Æ·¡ÅÎÀÌ ¾ÕÀ¸·Î ³ª¿Â ÁÖ°ÆÅÎÀÇ °æ¿ì

º»Àεµ ¸ð¸£°Ô

»ì¦ ÀÔÀ» ¹ú¸®°í

ÄÚ·Î ¼ûÀ» ½¬´Â °ÍÀÌ ¾Æ´Ñ

ÀÔÀ¸·Î ¼ûÀ» ½¬°í ÀÖ´Â °æ¿ì°¡

´ëºÎºÐÀÔ´Ï´Ù.

¶ÇÇÑ, ¾Æ·¡ÅÎÀÌ ³ª¿Ô±â ¶§¹®¿¡

ÀÔÀ» Àß ´Ù¹°Áö ¸øÇÏ´Â °æ¿ìµµ ÀÖ½À´Ï´Ù.


ÁÖ°ÆÅÎ ±³Á¤°ú ±¸°­±Ù±â´ÉÈÆ·Ã(MFT)ÀÇ Áß¿äÇÔ

´Ü¼øÈ÷ ÈûÀ» ¸¹ÀÌ ÁÖ´Â ±³Á¤Ä¡·á¸¦ ÇÏ´Â °ÍÀÌ ¾Æ´Ï¶ó

Çô¸¦ ÀÔõÀå¿¡ ºÙÀ̰í

ÄÚ·Î ¼ûÀ» ½¬°Ô ÇÏ´Â

ÁÁÀº ±¸°­±Ù±â´ÉÀÌ µû¶ó¿À°Ô ÇÏ´Â

MFT (Myofunctional therapy, ±¸°­±Ù±â´ÉÈÆ·Ã)°ú ÇÔ²²

ºñ¼ö¼ú ÁÖ°ÆÅÎ ±³Á¤Ä¡·á·Î

°Ç°­ÇÏ°í ¾ÈÀüÇϰÔ

°³¼±ÀÌ °¡´ÉÇÕ´Ï´Ù.


ºñ¼ö¼ú ÁÖ°ÆÅÎ ±³Á¤Ä¡·á ÈÄ ÀÔ´Ï´Ù.

ȯÀÚ º¸È£ÀÚ ºÐÀ̼ż­

³ªÀ̰¡ Àִµ¥

Ä¡·á°¡ °¡´ÉÇÒ±î¿ä? ¶ó°í ±Ã±ÝÇØÇϼ̴µ¥¿ä.

´©±¸º¸´Ù ¿­½ÉÈ÷

ºñ¼ö¼ú ÁÖ°ÆÅÎ ±³Á¤Ä¡·á¸¦

Àß ¹Þ¾ÆÁּ̽À´Ï´Ù.

ÀÔÀ» Àß ´Ù¹°±â À§Çؼ­

Àá Àß ¶§´Â Å×ÀÌÇÁ »ç¿ë±îÁö

¸ÅÀÏ ÀØÁö ¾Ê°í ÇØÁּ̽À´Ï´Ù.


 

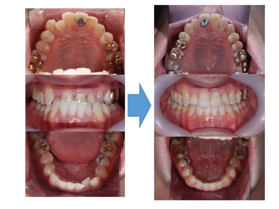
ºñ¼ö¼ú ÁÖ°ÆÅÎ ÀüÈÄ ±³ÇÕÀÔ´Ï´Ù.

¾Æ·¡ÅÎÀÌ ¸¹ÀÌ ¾ÕÀ¸·Î ³ª¿ÍÀÖ¾ú´Âµ¥

¾ç¾Ç¼ö¼úÀÌ ¾Æ´Ï¶ó

±³Á¤Ä¡·á ¸¸À¸·Î

±³ÇÕÀÌ Àß °³¼±µÈ °ÍÀ»

º¼ ¼ö ÀÖ½À´Ï´Ù.


 

ºñ¼ö¼ú ÁÖ°ÆÅÎ ±³Á¤Ä¡·á ÀüÈÄÀÔ´Ï´Ù.

Á¤»ó±³ÇÕÀ¸·Î

°³¼±ÀÌ Àß µÇ¾ú°í

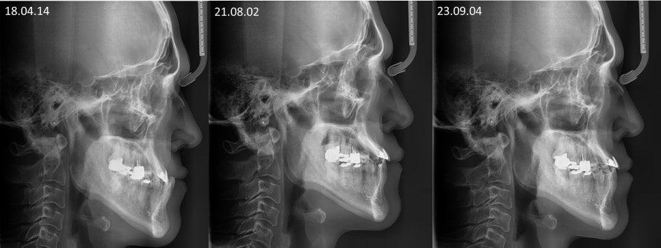
ºñ¼ö¼ú ÁÖ°ÆÅÎ ±³Á¤Ä¡·á ÈÄ

2³âÀÌ °æ°ú µÇ¾îµµ

ÁÁÀº ±³ÇÕÀ» Àß À¯ÁöÇϰí À־

³Ê¹« ´ÙÇàÀÌ¿´½À´Ï´Ù.

¿À·§µ¿¾È ÁÁÀº ±³ÇÕÀÌ Àß À¯ÁöµÈ´Ù´Â °ÍÀº

ºñ¼ö¼ú ÁÖ°ÆÅÎ ±³Á¤Ä¡·á·Î

°³¼±µÈ ±³ÇÕ¿¡ ¸ÂÃç¼­

¹Ù¸¥ ÀúÀÛ, ¿¬ÇÏ, È£Èí µî

Ä¡¾Æ¸¦ µÑ·¯½Ñ ¿¬Á¶Á÷ÀÇ

¾ÈÂʰú ¹Ù±ùÂÊÀÇ ±ÕÇüÀÌ Àß ÀÌ·ïÁ® Àֱ⠶§¹®¿¡

½Ã°£ÀÌ Áö³ªµµ

±³ÇÕÀÌ Èçµé¸®Áö ¾Ê°í

Àß À¯ÁöµÉ ¼ö ÀÖ´ä´Ï´Ù.


ºñ¼ö¼ú ÁÖ°ÆÅÎ ±³Á¤Ä¡·á·Î

Á¤»ó±³ÇÕÀ¸·Î

°³¼±ÀÌ µÇ¾ú°í

½Ã°£ÀÌ Áö³ªµµ

ÁÁÀº ±³ÇÕÀÌ Àß À¯ÁöµÇ°í ÀÖ½À´Ï´Ù.



½Ã°£ÀÌ Áö³ªµµ

Ä¡¾Æ °Ç°­»óŵµ

¾çÈ£ÇϰÔ

Àß À¯ÁöÇÏ°í °è½Ê´Ï´Ù.

 




ÀÌÀü±Û ºñ¼ö¼ú ÁÖ°ÆÅÎ Ä¡¾Æ±³Á¤ (Ä¡·á ±â°£ 13°³¿ù)
´ÙÀ½±Û ´ÙÀ½±ÛÀÌ ¾ø½À´Ï´Ù.