±ÙÀ°À» ÀÌ¿ëÇÑ ±Ùº»Àû ±³Á¤Ä¡·á!

Ä¡·á»ç·Ê

home > Ä¡·á»ç·Ê

Ä¡·á»ç·Ê

ºñ¼ö¼ú ÁÖ°ÆÅÎ Ä¡¾Æ±³Á¤ (Ä¡·á ±â°£ 13°³¿ù)

°ü¸®ÀÚ ¦¢ 2025-09-16

HIT

309





ÁÖ°ÆÅÎÀ» ÁÖ¼Ò·Î ³»¿øÇÑ

15¼¼ ¿©¼º ºÐÀÔ´Ï´Ù.

À§¾Æ·¡ Æø°æµµ ¸ÂÁö ¾Ê°í

¾Æ·¡ Ä¡¾Æ°¡ À§ Ä¡¾Æ º¸´Ù

4mm ÀÌ»ó

¾ÕÀ¸·Î ³ª¿Â °ÍÀ» º¼ ¼ö ÀÖ½À´Ï´Ù.


¾ç¾Ç¼ö¼úÀ» ÇØ¾ß

¾ÕÀ¸·Î ³ª¿Â ÁÖ°ÆÅÎÀ»

ÇØ°áÇÒ ¼ö ÀÖ´Ù°í À̾߱⸦ µé¾ú´Ù°í ÇÕ´Ï´Ù.

ÇÏÁö¸¸,

¾ç¾Ç¼ö¼úÀÌ °£´ÜÇÑ ¼ö¼úÀÌ ¾Æ´Ñ ¸¸Å­

¾ç¾Ç¼ö¼úÀÌ ¾Æ´Ñ ¹æ¹ýÀ¸·Î

Ä¡·á°¡ °¡´ÉÇÑÁö ÇØ¼­

³»¿øÀ» Çϼ̽À´Ï´Ù.



°á°ú´Â

¾Æ·¡¿Í °°Àº ¿òÁ÷ÀÓÀ¸·Î

½ÉÇÑ ÁÖ°ÆÅÎÀÌ¿´Áö¸¸

ºñ¼ö¼ú ÁÖ°ÆÅÎ ±³Á¤Ä¡·á¸¦ ÅëÇØ¼­

°Ç°­ÇÏ°í ¾ÈÀüÇϰÔ

13°³¿ù ¸¸¿¡

Ä¡·á¸¦ ¿Ï·á ÇÏ¿´½À´Ï´Ù.


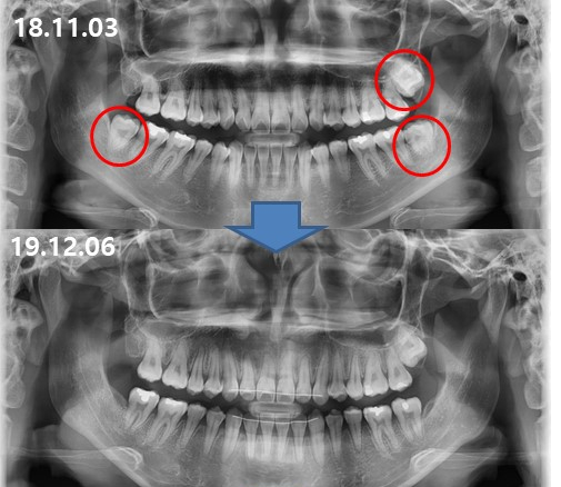
¿·¾ó±¼ ¿¢½º·¹ÀÌ¿¡¼­´Â

ÀÌ·± º¯È­°¡ ÀϾ½À´Ï´Ù.

ÅÎÀ» ÀÚ¸£´Â ¾ç¾Ç¼ö¼úÀÌ ¾Æ´ÏÁö¸¸

Ä¡¾ÆÀÇ º¯È­¿¡ ¸ÂÃç¼­

¾Æ·¡ÅÎÀÇ À§Ä¡°¡

ÈĹæÇϹæÀ¸·Î

º¯È­µÈ °ÍÀ» º¼ ¼ö ÀÖ½À´Ï´Ù.

ºñ¼ö¼ú ÁÖ°ÆÅÎ ±³Á¤Ä¡·á¸¦ ÇÏ´Â

13°³¿ù µ¿¾ÈÀÇ ÁÖ¿ä º¯È­ÀÔ´Ï´Ù.

Ä¡·á ½ÃÀÛ 7°³¿ù ÈÄ¿¡

Á¤»ó±³ÇÕÀ¸·Î ¹Ù²ï ÈÄ

À¯Áö, ¾ÈÁ¤À» º¸´Ù°¡

13°³¿ù¿¡ Ä¡·á¸¦ ³¡³Â½À´Ï´Ù.





½ÉÇÑ ÁÖ°ÆÅÎÀ¸·Î

À§¾Æ·¡ ¾Õ´Ï°¡ ½ÉÇϰÔ

¹Ý´ë·Î ¹°·ÁÀÖ´Â »óÅ¿¡¼­


 

ºñ¼ö¼ú ÁÖ°ÆÅÎ ±³Á¤Ä¡·á 2´Þ ÀÔ´Ï´Ù.

¾Õ´Ï³¢¸® ¸Â´ê´Â Á¤µµ±îÁö °³¼±µÈ °ÍÀ» º¼ ¼ö ÀÖ½À´Ï´Ù.


 

4´Þ °æ°ú µÇ¸é¼­ Á¤»ó ±³ÇÕÀ¸·Î

Æø°æÀ̳ª

¹Ý´ë±³ÇÕÀÌ °³¼±µÇ¾ú½À´Ï´Ù.

ºñ¼ö¼ú ÁÖ°ÆÅÎ ±³Á¤Ä¡·á 7´Þ ÈÄ

Á¤»ó±³ÇÕÀÔ´Ï´Ù.

¿À·§µ¿¾È ±³ÇÕÀÌ ÁÁÁö ¾Ê´Â °æ¿ì

ÁÁÁö ¾Ê´Â ºÎÁ¤±³ÇÕ¿¡ ¸ÂÃç

¹Ù¸£°Ô ¾Ã°Å³ª, »ïŰ°Å³ª, ¸»À» Çϰųª µî

ÀԾȰú °ü·ÃµÈ ¿©·¯°¡Áö ±â´ÉÀÌ

ÁÁÁö ¾ÊÀº ä·Î

À¯ÁöµË´Ï´Ù.

µû¶ó¼­, ±³ÇÕÀÌ °³¼±µÈ ÈÄ¿¡

¹Ù·Î ±³Á¤ÀåÄ¡¸¦ Á¦°ÅÇÏ´Â °ÍÀÌ ¾Æ´Ï¶ó

Á¤»ó ±³ÇÕ¿¡ ¸ÂÃá

¹Ù¸£°Ô ¾Ã°í, »ï۰í, ¸»ÇÏ´Â ±â´ÉÀÌ

Àß µû¶ó¿À°í

Àß À¯ÁöµÇ°í ÀÖ´ÂÁö °æ°ú¸¦ º¸¸é¼­

ÀåÄ¡¸¦ Á¦°ÅÇÏ´Â °ÍÀÌ ÁÁ½À´Ï´Ù.



ºñ¼ö¼ú ÁÖ°ÆÅÎ ±³Á¤Ä¡·á 13°³¿ù ÈÄ·Î

¸ðµç ±³Á¤ÀåÄ¡¸¦ Á¦°ÅÇϰí

Ä¡·á¸¦ ¸¶¹«¸® ÇÏ¿´½À´Ï´Ù.

ÀÌ·± »óÅ¿¡¼­

´Ã ÀÔ¼úÀ» ´Ù¹°°í

ÄÚ·Î ¼ûÀ» ½¬°í

¹Ù¸£°Ô ¿¬Çϸ¦ ÇÏ´Â

Ä¡¾Æ¿Í °ü·ÃµÈ ÁÁÀº ±â´ÉÀÌ

Àß Çü¼ºµÇ¾î ÀÖ´Â °ÍÀÌ Áß¿äÇÕ´Ï´Ù.

±×·¡¾ß



ºñ¼ö¼ú ÁÖ°ÆÅÎ ±³Á¤Ä¡·á°¡ ³¡³­ ÈÄ¿¡

½Ã°£ÀÌ °æ°úÇØµµ

ÁÁÀº ±³ÇÕÀÌ Àß À¯ÁöµÉ ¼ö Àֱ⠶§¹®ÀÔ´Ï´Ù.


13°³¿ù µ¿¾ÈÀÇ

ºñ¼ö¼ú ÁÖ°ÆÅÎ ±³Á¤Ä¡·á ÀüÈÄÀÇ

¿·¾ó±¼ ¿¢½º·¹ÀÌ ÀÔ´Ï´Ù.



ºñ¼ö¼ú ÁÖ°ÆÅÎ ±³Á¤Ä¡·á ÀüÈÄ

Ä¡¾Æ °Ç°­»óÅ´ ¹°·Ð ¾çÈ£ÇÕ´Ï´Ù.



´Ã Çô°¡ ÀÔõÀå¿¡ ºÙ¾î ÀÖ´Â °ÍÀÌ Áß¿äÇÕ´Ï´Ù.

ºñ¼ö¼ú ÁÖ°ÆÅÎ ±³Á¤Ä¡·á ÀüÈÄÀÇ

¾ó±¼¸ð½À ÀÔ´Ï´Ù.

ÀÚ¿¬½º·´°Ô

Àڽۨ ÀÖ°Ô

¿ôÀ» ¼ö ÀÖ°Ô µÇ¾î

ȯÀںеµ ¸¸Á·Çϼ̽À´Ï´Ù.

¾ç¾Ç¼ö¼úÀÌ ¾Æ´Ï´õ¶óµµ

´Ã ÀÔ¼úÀ» ´Ù¹°°í

ÄÚ·Î ¼ûÀ» ½¬°í

¹Ù¸£°Ô ¾Ã´Â

±¸°­±Ù±â´ÉÈÆ·Ã (MFT)ÀÌ

ºñ¼ö¼ú ÁÖ°ÆÅÎ ±³Á¤Ä¡·á¿Í ÇÔ²² ÇÏ´Â °ÍÀ¸·Î

ºü¸£°í °Ç°­ÇÑ

¾ÈÀüÇÑ Ä¡·á¸¦ ÇÒ ¼ö ÀÖ½À´Ï´Ù.

 




ÀÌÀü±Û ºñ¼ö¼úÁÖ°ÆÅÎ Ä¡¾Æ±³Á¤-¾î¶»°Ô ´Þ¶óÁú ¼ö ÀÖ´ÂÁö?
´ÙÀ½±Û ÁÖ°ÆÅÎ ±³Á¤ - 48¼¼ Á߳⠳²¼º (ºñ¼ö¼ú ÁÖ°ÆÅÎ Ä¡¾Æ±³Á¤)