±ÙÀ°À» ÀÌ¿ëÇÑ ±Ùº»Àû ±³Á¤Ä¡·á!

Ä¡·á»ç·Ê

home > Ä¡·á»ç·Ê

Ä¡·á»ç·Ê

ºñ¼ö¼úÁÖ°ÆÅÎ Ä¡¾Æ±³Á¤-¾î¶»°Ô ´Þ¶óÁú ¼ö ÀÖ´ÂÁö?

°ü¸®ÀÚ ¦¢ 2025-09-09

HIT

327

½ÉÇÑ ÁÖ°ÆÅÎÀ¸·Î º´¿ø¿¡ ³»¿øÇÑ È¯ÀÚ »ç·Ê




¼ºÀåÀ» Çϸ鼭

¾Æ·¡ÅÎÀÌ ³»³» ¾ÕÀ¸·Î ³ª¿Í

½ÉÇÏ°Ô ¹Ý´ë·Î ¹°¸®´Â Áõ»óÀ¸·Î

³»¿øÇÑ 16¼¼ ³²ÇлýÀÔ´Ï´Ù.

±³Á¤Ä¡·á¸¦ °è¼Ó ¹Þ¾Ò´Âµ¥

À§¾Æ·¡ ¾Õ´Ï°¡

Á¤»óÀûÀ¸·Î

¹°¸° ÀûÀÌ ¾ø¾ú´Ù°í ÇÏ³×¿ä ¤Ð¤Ð



¾ç¾Ç¼ö¼úÀÌ ¾Æ´Ï´õ¶óµµ

Ä¡¾Æ ±³Á¤Ä¡·á¸¦ ÅëÇØ¼­

ÅÎÀÇ À§Ä¡ ¿òÁ÷ÀÓÀ»

º¯È­½ÃŰ´Â

ºñ¼ö¼úÁÖ°ÆÅÎ Ä¡¾Æ±³Á¤ Ä¡·á¸¦ ÅëÇØ¼­

ÀÌ·¸°Ô º¯È­µÉ ¼ö ÀÖ½À´Ï´Ù.


Ä¡¾Æ´Â ¾ÈÂÊÀÇ Çô¿Í

¹Ù±ùÂÊÀÇ ÀÔ¼ú, »´¿¡ ÀÇÇØ µÑ·¯½Î¿© ÀÖ¾î

¾ÈÂʰú ¹Ù±ùÂÊÀÇ ÈûÀÌ ±ÕÇüÀ» ÀÌ·é °÷¿¡

À§Ä¡ ÇÕ´Ï´Ù.

ÀÌ ÇлýÀÇ °æ¿ì

ÄÚ°¡ ¾È ÁÁ¾Æ¼­

¾î·Á¼­ºÎÅÍ ´Ã ÀÔÀ» ¹ú¸®°í Áö³Â´Ù°í ÇÕ´Ï´Ù.

ÄÚ°¡ ¾È ÁÁ¾Æ¼­ ÀÔÀ» ¹ú¸®´Â °æ¿ì

Çô°¡ ¹ØÀ¸·Î ³»·Á°¡¼­

¾Æ·¡ Ä¡¿­¿¡ À§Ä¡ÇÏ°Ô µË´Ï´Ù.

±×·¯¸é

Ãà ´Ã¾îÁø Çô°¡

¾Æ·¡ Ä¡¿­À» ÀüÈÄ, Á¿ì·Î ³ÐÈ÷°Ô µÇ¾î

¾Æ·¡ÅÎÀÌ ¾ÕÀ¸·Î ³ª¿À¸é¼­

Æø°æµµ ¸ÂÁö ¾Ê°Ô µË´Ï´Ù.


 

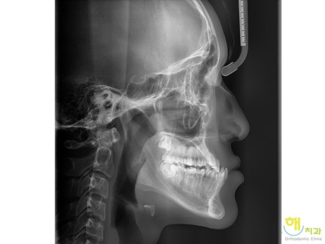
½ÉÇÑ ÁÖ°ÆÅεµ ºñ¼ö¼úÁÖ°ÆÅÎ Ä¡¾Æ±³Á¤ÀÌ °¡´ÉÇÒ±î?

¹«·Á 6.5mm Á¤µµ

¾Æ·¡ ¾Õ´Ï°¡ À§ ¾Õ´Ïº¸´Ù ¾ÕÀ¸·Î ³ª¿Â

½ÉÇÑ ÁÖ°ÆÅÎ ÀÔ´Ï´Ù.

¾ç¾Ç¼ö¼ú ¾øÀ̵µ

ºñ¼ö¼úÁÖ°ÆÅÎ Ä¡¾Æ±³Á¤¸¸À¸·Î

°¡´ÉÇÒ±î¿ä?

ÇôÀÇ ¿îµ¿¼º°ú À§Ä¡¸¦

ºñ¼ö¼ú ÁÖ°ÆÅÎ ±³Á¤Ä¡·á¿Í °°ÀÌ Á¶ÀýÇÏ´Â

±¸°­±Ù±â´ÉÈÆ·Ã (Oral myofunctional therapy, MFT)À»

°°ÀÌ ÇÏ´Â °ÍÀ¸·Î

ÃæºÐÈ÷

ºü¸£°í °Ç°­ÇÑ Ä¡·á¸¦ ÇÒ ¼ö ÀÖ½À´Ï´Ù.


¾ç¾Ç¼ö¼ú ¾øÀÌ ºñ¼ö¼úÁÖ°ÆÅÎ Ä¡¾Æ±³Á¤°ú ±¸°­±Ù±â´ÉÈÆ·Ã(MFT) Ä¡·á »ç·Ê


¾ç¾Ç¼ö¼ú ´ë½Å¿¡

ºñ¼ö¼úÁÖ°ÆÅÎ Ä¡¾Æ±³Á¤À» À§ÇØ

±³Á¤ÀåÄ¡¸¦ ºÎÂøÇÕ´Ï´Ù.

¹Ý´ë·Î ¹°¸®´Â Á¤µµ°¡

½ÉÇÏ°í ±í¾î¼­

¹°¸®´Â °ÍÀ» ÀÎÀ§ÀûÀ¸·Î

¶ç¿ì±â À§ÇØ ÆÄ¶õ»ö ·¹ÁøÀ» ºÎÂøÇϰí

´Ã Çô¸¦ ÀÔõÀå¿¡ ºÙÀ̰í

ÀÔ¼úÀ» ´Ù¹°°í ÄÚ·Î ¼ûÀ» ½¬µµ·Ï ÇÕ´Ï´Ù.


ºñ¼ö¼úÁÖ°ÆÅÎ Ä¡¾Æ±³Á¤ 3´Þ Á¤µµ °æ°ú ÈÄ¿¡´Â

À§¾Æ·¡ ¾Õ´Ï³¢¸®

¸Â´ê´Â Á¤µµ±îÁö

°³¼±ÀÌ µÈ °ÍÀ» º¼ ¼ö ÀÖ½À´Ï´Ù.

ºñ¼ö¼úÁÖ°ÆÅÎ Ä¡¾Æ±³Á¤ Ä¡·á¸¦ ÁøÇàÇϸ鼭

À§¾Æ·¡ ¾Õ´Ï°¡ Á¡Á¡ ´õ °¡±î¿öÁö°í

À§¾Æ·¡ Æø°æÀÌ °³¼±µÇ°í ÀÖ½À´Ï´Ù.

ȯÀÚ ½º½º·Î

Çô¸¦ ´Ã ÀÔõÀå¿¡ ºÙÀ̰í ÀÖ´Â °Íµµ

Á¡Á¡ Àͼ÷ÇØÁý´Ï´Ù.

ºñ¼ö¼úÁÖ°ÆÅÎ Ä¡¾Æ±³Á¤ Ä¡·á 7°³¿ù ÈÄ ÀÔ´Ï´Ù.

Á¤»ó±³ÇÕÀÔ´Ï´Ù!!!!

±³ÇÕÀÌ ¾ÈÁ¤ÀÌ µÇ¸é

±¸°­±Ù±â´ÉÈÆ·Ã (MFT)À¸·Î

¹Ù¸£°Ô ÀúÀÛÀ» ÇÏ´Â

¹Ù¸¥ ÀÚ¼¼¸¦ ÃëÇÏ´Â Á߿伺¿¡ ´ëÇØ

ÀÌÇØÇϰí

Æò»ó½Ã¿¡ ½ÇõÇϵµ·Ï ÇÕ´Ï´Ù.

¸¹ÀÌ ¿ÀÇØÇÏ´Â °Í Áß¿¡ Çϳª°¡

±³Á¤Ä¡·á¸¦ ÅëÇØ¼­

±³ÇÕÀÌ °³¼±µÇ¸é

ÇüŰ¡ °³¼±µÇ¾î

¹Ù¸£°Ô ¾Ã°í, ¸»Çϰí, »ïŰ´Â µîÀÇ

±¸°­°ú °ü·ÃµÈ ¿©·¯ ±â´ÉÀÌ

¹Ù¸£°Ô ÀϾ´Ù°í

»ý°¢À» Çϴµ¥¿ä.

±¸°­±Ù±â´ÉÈÆ·Ã(MFT)À» ÅëÇØ¼­

ÇнÀ, ¿¬½ÀÀÌ µû¶óÁà¾ß

Àͼ÷ÇØÁú ¼ö ÀÖ½À´Ï´Ù.


½ÉÇÑ ÁÖ°ÆÅÎÀ¸·Î

¾ç¾Ç¼ö¼úÀÌ ¾Æ´Ï¸é ¾ÈµÇ´Â ÁÙ ¾Ë¾ÒÁö¸¸

ºñ¼ö¼ú ÁÖ°ÆÅÎ ±³Á¤Ä¡·á¸¦ ÅëÇØ¼­

Á¤»ó±³ÇÕÀ¸·Î °³¼±ÇÑ ÈÄ

(½ÇÁ¦ 7°³¿ù Á¤µµ ¼Ò¿äµÇ¾ú½À´Ï´Ù!)

ÀÏÁ¤ ±â°£À» µÎ°í

ÁöÄѺÁ¼­

º¯È­°¡ ¾ø´Â »óŰ¡ À¯ÁöµÇ¸é

¸ðµç ±³Á¤ÀåÄ¡¸¦ Á¦°ÅÇϰí

Ä¡·á¸¦ ¸¶¹«¸® ÇÒ ¼ö ÀÖ½À´Ï´Ù.


 

Á¤»ó ±³ÇÕÀÔ´Ï´Ù.

¹«¾ùº¸´Ù

Ä¡·á¸¦ ¹ÞÀº ȯÀÚ°¡ ½º½º·Î

±¸°­±Ù±â´ÉÈÆ·Ã (MFT)À» ÅëÇØ¼­

¹Ù¸£°Ô ¾Ã°í, »ï۰í, ¸»ÇÏ´Â

Ä¡¾ÆÀÇ ÇüŸ¦ À¯Áö½Ã۱â À§ÇÑ

ÁÁÀº ±â´ÉÀÌ ÁÁ¾ÆÁø ÇüÅ¿¡ ¸ÂÃçÁø °ÍÀ¸·Î

°Ç°­ÇÏ°í ¾ÈÀüÇÑ Ä¡·á¸¦

ÁøÇàÇÒ ¼ö ÀÖ¾ú½À´Ï´Ù.


 

ºñ¼ö¼úÁÖ°ÆÅÎ Ä¡¾Æ±³Á¤ - ¾î¶»°Ô ´Þ¶óÁú ¼ö ÀÖ´ÂÁö?|ÀÛ¼ºÀÚ ¹Ù¸¥ÇØÄ¡°ú 




ÀÌÀü±Û ¾È¸éºñ´ëĪ Ä¡¾Æ±³Á¤ + °³¹æ±³ÇÕ Ä¡¾Æ±³Á¤
´ÙÀ½±Û ºñ¼ö¼ú ÁÖ°ÆÅÎ Ä¡¾Æ±³Á¤ (Ä¡·á ±â°£ 13°³¿ù)