±ÙÀ°À» ÀÌ¿ëÇÑ ±Ùº»Àû ±³Á¤Ä¡·á!

Ä¡·á»ç·Ê

home > Ä¡·á»ç·Ê

Ä¡·á»ç·Ê

¾È¸éºñ´ëĪ Ä¡¾Æ±³Á¤ + °³¹æ±³ÇÕ Ä¡¾Æ±³Á¤

°ü¸®ÀÚ ¦¢ 2025-09-02

HIT

449

¾È¸éºñ´ëĪ Ä¡¾Æ±³Á¤ + °³¹æ±³ÇÕ Ä¡¾Æ±³Á¤




 

 

´Ù¸¥ º´¿ø¿¡¼­

Ä¡·á¸¦ ¹Þ´ø 18¼¼ ³²Çлý ÀÔ´Ï´Ù.

±³ÇÕÀÌ Á¡Á¡ ´õ

ºÒ¾ÈÀüÇØÁö´Â ÀÌÀ¯·Î

´Ù½Ã ±³Á¤Ä¡·á¸¦ Çϱâ À§ÇØ

¹Ù¸¥ÇØÄ¡°ú¿¡ ³»¿øÇÏ¿´½À´Ï´Ù.


ÄÚ°¡ ÀÚÁÖ ¸·Èù´Ù¸é???

³ªµµ ¸ð¸£°Ô ÀÔÀ» »ì¦ ¹ú¸®°í

¼ûÀ» ½¬°Ô µÇ´Âµ¥¿ä.

ÀÔÀ» ¹ú¸®°í ¼ûÀ» ½¬´Â °ÍÀÌ Àͼ÷ÇØÁö¸é?

Çô°¡ ¾Æ·¡ Ä¡¿­¿¡ Ãà ´Ã¾îÁö¸é¼­

ÇôÀÇ ±Ù·Â, ¿îµ¿¼ºÀÌ

¶³¾îÁö°í

ÀÌ·Î ÀÎÇØ

°³¹æ±³ÇÕÀÌ µÇ¸é¼­

ÆíÇÑ ÂÊÀ¸·Î ¾ÃÀ¸¸é¼­

ÅÎÀÌ Æ²¾îÁö°Ô µÇ´Â ÀÌÀ¯°¡

µÉ ¼ö ÀÖ½À´Ï´Ù.


 

ÇÏÁö¸¸

Çô¸¦ ¹Ù¸¥ À§Ä¡·Î µÎ´Â

±×¸®°í ¹Ù¸£°Ô ÀúÀÛÇÏ´Â ½À°üÀÌ ¸ö¿¡ Àͼ÷ÇÏ°Ô ÇÏ´Â

±¸°­±Ù±â´ÉÈÆ·Ã (Oral myofunctional therapy, MFT)¿Í ÇÔ²² Çϸé

°Ç°­ÇÏ°í ¾ÈÀüÇϰÔ

¾ç¾Ç¼ö¼úÀÌ ¾Æ´Ñ

±³Á¤Ä¡·á ¸¸À¸·Î

ȸº¹ÇÒ ¼ö ÀÖ½À´Ï´Ù.


 

´Ù½Ã ±³Á¤Ä¡·á¸¦ ½ÃÀÛÇϸ鼭

Çô¸¦ ´Ã ÀÔõÀå¿¡ ºÙÀ̰í ÀÖ°í

ÀÔ¼úÀ» ´Ù¹°°í ÀÖµµ·Ï ÇÕ´Ï´Ù.

óÀ½¿¡´Â Çô¸¦ ÀÔõÀå¿¡ ´Ã ºÙÀ̰í ÀÖ´Â °ÍÀÌ

Àͼ÷ÇÏÁö ¾Ê½À´Ï´Ù¸¸,

±³Á¤Ä¡·á¸¦ Çϸ鼭

Ä¡¾Æ¸¦ µÑ·¯½Ñ

ÀÔ¼ú, »´, ÇôÀÇ ÈûÀ» Àß Á¶ÀýÇÏ´Â °ÍÀÌ

Á¦ÀÏ Áß¿äÇϱ⠶§¹®¿¡

Á¡Á¡ Àͼ÷ÇÏ°Ô ¸¸µé ¼ö ÀÖ½À´Ï´Ù.


 

°³¹æ±³ÇÕÀÌ Á¶±Ý¾¿ °³¼±µÇ°í ÀÖ½À´Ï´Ù.


°³¹æ±³ÇÕÀÌ ¾î´À Á¤µµ

°³¼±µÇ¸é

¹Ù¸£°Ô ¾Ã´Â ¹æ¹ý¿¡ ´ëÇØ¼­µµ

Àͼ÷ÇÏ°Ô ¸¸µé±â À§ÇÑ

±¸°­±Ù±â´ÉÈÆ·Ã (MFT)À» ÇØ¾ß ÇÕ´Ï´Ù.

¹äÀ» ¸ø ¸Ô´Â °ÍÀº ¾Æ´ÏÁö¸¸

¹Ù¸£°Ô ÀúÀÛÀ» ÇÏ´Â °ÍÀ¸·Î

Ä¡¾Æ¸¦ µÑ·¯½Ñ

ÀúÀÛ±ÙÀ» Æ÷ÇÔÇÑ

¿©·¯ ±ÙÀ°ÀÌ ¹Ù¸£°Ô ¾²ÀÌ´Â °ÍÀÌ

±³Á¤Ä¡·á¸¦ ½±°í °£´ÜÇϰÔ

±×¸®°í ÁÁÀº °á°ú¸¦ À¯ÁöÇϴµ¥ ÇʼöÀÔ´Ï´Ù.


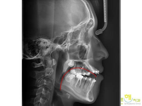
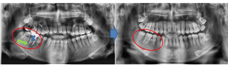
¾Æ·¡ ¾î±Ý´Ï¿¡ ¹®Á¦°¡ »ý°Ü¼­

Ä¡·á¸¦ Çϱ⠽±Áö ¾Ê¾Æº¸¿©

¹ßÄ¡Çϰí

½Ã°£ÀÌ Á» °É¸®´õ¶óµµ

µÚÀÇ »ç¶û´Ï¸¦ ¾ÕÀ¸·Î ´ç±â´Â Á¶Ä¡¸¦ Çϱâ·Î

ÇÏ¿´½À´Ï´Ù.



¿À¸¥ÂÊ ¾Æ·¡ ¾î±Ý´Ï¸¦ ¹ßÄ¡ÇÏ¿´°í

¹ßÄ¡ °ø°£ ÀüÈÄÀÇ Ä¡¾Æ¸¦ ¿òÁ÷¿©

°ø°£À» ¾ø¾Ö±â·Î ÇÏ¿´½À´Ï´Ù.

¸¶Âù°¡Áö·Î

Çô´Â ´Ã ÀÔõÀå¿¡ ºÙÀ̰í

ÀÔ¼úÀ» ´Ù¹°°í ÄÚ·Î ¼ûÀ» ½¬µµ·Ï Çϰí

¹Ù¸£°Ô ÀúÀÛÇÏ´Â °ÍÀ» À¯ÁöÇϵµ·Ï ÇÕ´Ï´Ù.

°³¹æ±³ÇÕÀÌ ¸¹ÀÌ °³¼±µÈ °ÍÀ» º¼ ¼ö ÀÖ½À´Ï´Ù.

µåµð¾î ¹ßÄ¡Çß´ø ¾î±Ý´Ï °ø°£µµ

´Ù ¾ø¾îÁö°í

¾È¸éºñ´ëĪ Ä¡¾Æ±³Á¤+

°³¹æ±³ÇÕ Ä¡¾Æ±³Á¤ÀÌ

Àß ¸¶¹«¸®µÈ °ÍÀ» º¼ ¼ö ÀÖ½À´Ï´Ù.


 

Àü¹ÝÀûÀÎ

ºñ¼ö¼ú ¾È¸éºñ´ëĪ Ä¡¾Æ±³Á¤

ºñ¼ö¼ú °³¹æ±³ÇÕ Ä¡¾Æ±³Á¤

Ä¡·á°úÁ¤ÀÔ´Ï´Ù.


 

¾î±Ý´Ï¸¦ ¹ßÄ¡ÇÏ¿´°í

»ç¶û´Ï°¡ ¾ÆÁ÷ ¸Ó¸® ¹Û¿¡

Çü¼ºÀÌ ¾ÈµÈ »óÅ¿´Áö¸¸

»Ñ¸®°¡ Àß ¹ßÀ°µÇ¸é¼­

Á¤»óÀûÀ¸·Î

¾î±Ý´Ï ¿ªÇÒÀ» ÇÒ ¼ö ÀÖ°Ô µÈ °ÍÀ» º¼ ¼ö ÀÖ½À´Ï´Ù.


 

ºñ¼ö¼ú ¾È¸éºñ´ëĪ Ä¡¾Æ±³Á¤

ºñ¼ö¼ú °³¹æ±³ÇÕ Ä¡¾Æ±³Á¤

ÀüÈÄÀÇ ¾ó±¼º¯È­ ÀÔ´Ï´Ù.

±³ÇÕÀÌ ¾ÈÁ¤µÇ¸é¼­

¾ó±¼±æÀ̰¡

´Ù¼Ò ª¾ÆÁö°í

±³ÇÕÀÌ °³¼±µÇ¸é¼­

ÁÂ¿ì ´ëμºÀÌ °³¼±µÈ °ÍÀ» º¼ ¼ö ÀÖ½À´Ï´Ù.


 


¾ó±¼ Á¤¸é¿¡¼­ ºÃÀ» ¶§µµ

¾È¸éºñ´ëĪÀÌ ¸¹ÀÌ °³¼±µÈ °ÍÀ»

º¼ ¼ö ÀÖ½À´Ï´Ù.

ÀÔµµ Àß ´Ù¹°°í

ÄÚ·Î ¼û½¬°í ÀÖ´Â °ÍÀÌ

Àͼ÷ÇØÁö´Â °ÍÀ¸·Î

Àç¹ß °¡´É¼ºÀ»

ÃÖ¼ÒÇÑÀ¸·Î ÁÙ¿©ÁÙ ¼ö ÀÖ½À´Ï´Ù.

 




ÀÌÀü±Û ½ÉÇÑ ¾È¸éºñ´ëĪ Ä¡¾Æ ±³Á¤, ½ÉÇÑ ÁÖ°ÆÅÎ Ä¡¾Æ ±³Á¤
´ÙÀ½±Û ºñ¼ö¼úÁÖ°ÆÅÎ Ä¡¾Æ±³Á¤-¾î¶»°Ô ´Þ¶óÁú ¼ö ÀÖ´ÂÁö?