±ÙÀ°À» ÀÌ¿ëÇÑ ±Ùº»Àû ±³Á¤Ä¡·á!

Ä¡·á»ç·Ê

home > Ä¡·á»ç·Ê

Ä¡·á»ç·Ê

½ÉÇÑ ¾È¸éºñ´ëĪ Ä¡¾Æ ±³Á¤, ½ÉÇÑ ÁÖ°ÆÅÎ Ä¡¾Æ ±³Á¤

°ü¸®ÀÚ ¦¢ 2025-08-30

HIT

360

¾È³çÇϼ¼¿ä.

¹Ù¸£°í °Ç°­ÇÑ Ä¡¾ÆÁöÅ´ÀÌ

¹Ù¸¥ÇØÄ¡°úÀÔ´Ï´Ù.

¿À´Ãµµ °Ç°­ÇÑ ÇÏ·ç µÇ½Ã±â ¹Ù¶ø´Ï´Ù.





 


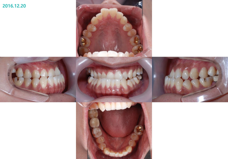
 ½ÉÇÑ ¾È¸éºñ´ëΰú

½ÉÇÑ ÁÖ°ÆÅÎÀ» ÁÖ¼Ò·Î

¹Ù¸¥ÇØÄ¡°ú¿¡ ³»¿øÇÏ¿´½À´Ï´Ù.

¾Æ·¡ÅÎÀÌ ¿À¸¥ÂÊÀ¸·Î ¸¹ÀÌ Æ²¾îÁ® ÀÖ°í

¹Ý´ë·Î ¹°¸®´Â Á¤µµ°¡ ½ÉÇѵ¥¿ä.

¾ç¾Ç¼ö¼úÀÌ ¾Æ´Ï´õ¶óµµ

ºñ¼ö¼ú ÁÖ°ÆÅÎ ±³Á¤Ä¡·á·Î

ÁÁÀº Ä¡·á°¡ °¡´ÉÇÒ±î¿ä?

Ä¡¾Æ´Â ¾ÈÂÊÀÇ Çô¿Í

¹Ù±ùÂÊÀÇ ÀÔ¼ú »´ÀÌ

±ÕÇüÀ» ÀÌ·é °÷¿¡ À§Ä¡Çϰí ÀÖ½À´Ï´Ù.

ÀϹÝÀûÀ¸·Î

ÁÖ°ÆÅÎÀÌ ½ÉÇÑ ºÐµéÀÇ °æ¿ì

ÄÚ°¡ ¾ÈÁÁ°Å³ª µîÀÇ ÀÌÀ¯·Î

º»Àεµ ¸ð¸£°Ô »ì¦ ÀÔ¼úÀ» ¹ú¸°Ã¤·Î ÀÖ´Â °æ¿ì°¡

ÈçÇѵ¥¿ä.

ÀÔ¼úÀ» »ì¦ ¹ú¸®°Ô µÇ¸é

Çô°¡ ¹ØÀ¸·Î ³»·Á°¡°Ô µÇ°í

³»·Á°£ Çô°¡

¾Æ·¡ Ä¡¿­À» ÀüÈÄ, Á¿ì·Î ¹Ð¾î³»°Ô µÇ¾î

Á¡Á¡ ´õ ½ÉÇÑ ÁÖ°ÆÅÎÀ¸·Î ¹ßÇöµÇ°Ô µË´Ï´Ù.


µû¶ó¼­

Ç×»ó ÀÔ¼úÀ» ´Ù¹°°í,

ÄڷΠȣÈíÇϰí,

Çô°¡ ÀÔõÀå¿¡ ºÙ¾îÀִ ä·Î

À¯ÁöµÇ´Â °ÍÀÌ Áß¿äÇÕ´Ï´Ù.

ÀÌ·¯ÇÑ Çô¿Í °ü·ÃµÈ

ÁÁÀº ±¸°­½À°üÀ» Çü¼ºÇÏ´Â ÈÆ·ÃÀ»

±¸°­±Ù±â´ÉÈÆ·Ã (Oral myofunctonal therapy, MFT) ¶ó°í ÇÕ´Ï´Ù.


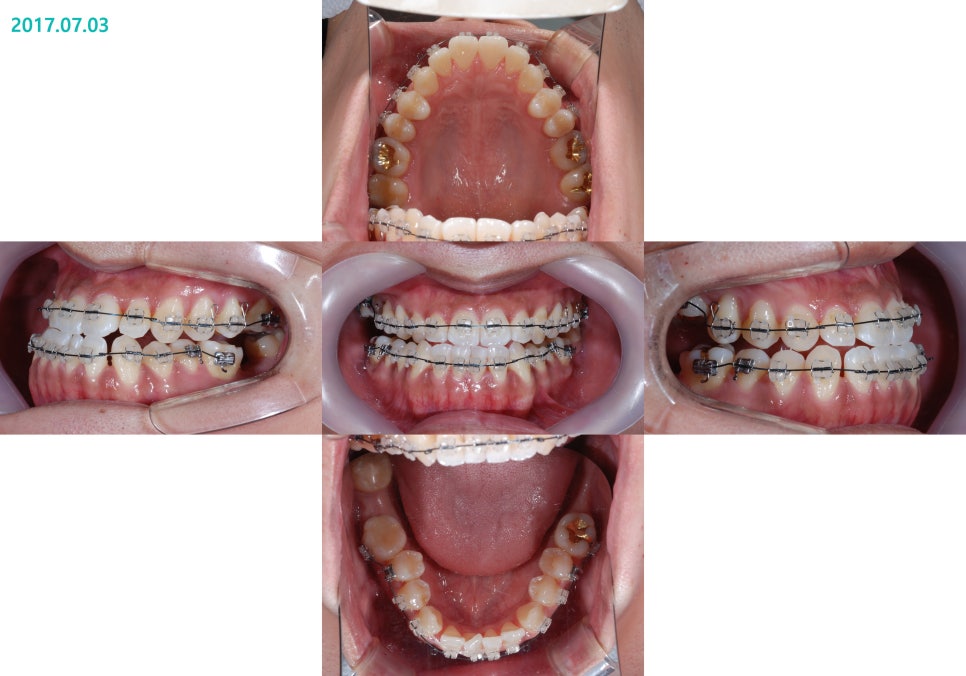
½ÉÇÑ ÁÖ°ÆÅÎ ¹×

½ÉÇÑ ¾È¸éºñ´ëĪÀ¸·Î ³»¿øÇÏ¿´°í

ºñ¼ö¼ú ÁÖ°ÆÅÎ ±³Á¤Ä¡·á¸¦ ÁøÇàÇϰí ÀÖ½À´Ï´Ù.

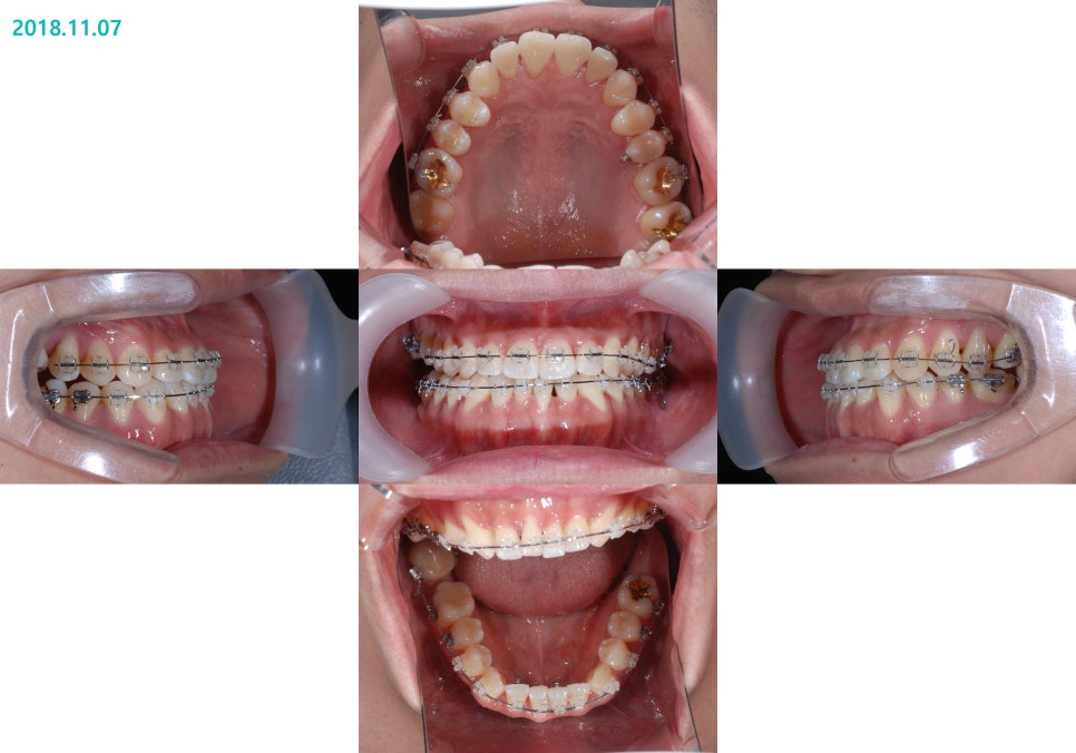
½ÉÇÑ ¹Ý´ë±³ÇÕÀÌ

¾Õ´Ï³¢¸® ¸Â´ê´Â Á¤µµ±îÁö

°³¼±µÈ °ÍÀ» º¼ ¼ö ÀÖ½À´Ï´Ù.


½ÉÇÑ ÁÖ°ÆÅÎÀÌ °³¼±µÇ¸é¼­

À§¾Æ·¡ ¾Õ´Ï°¡

Á¤»óÀûÀ¸·Î ±³ÇÕµÇ°Ô ¹Ù²ï °ÍÀ»

º¼ ¼ö ÀÖ½À´Ï´Ù¸¸

¾ÆÁ÷Àº ±³ÇÕÀÌ ºÒ¾ÈÀüÇÑ »óÅÂÀÔ´Ï´Ù.

¿À¸¥ÂÊ ¾î±Ý´Ï°¡ À¯Âø(Ankylosis)ÀÌ ÀÖ¾î

¿òÁ÷ÀÌÁö ¸øÇÏ´Â °ÍÀÌ È®ÀεǾú½À´Ï´Ù.

¾î±Ý´Ï´Â Áß¿äÇÑ Ä¡¾Æ·Î ±³Á¤Ä¡·á½Ã¿¡

¿òÁ÷ÀÓÀÌ Àß Á¶ÀýµÇ¾ß ÇÏÁö¸¸

À¯Âø(Ankylosis)ÀÌ µÈ Ä¡¾ÆÀÇ °æ¿ì

¿òÁ÷ÀÏ ¼ö ¾ø±â ¶§¹®¿¡

Á¦¿ÜÇϰí

¸¶¹«¸® ±³Á¤Ä¡·á¸¦ ÁøÇàÇϱâ·Î

ÇÏ¿´½À´Ï´Ù.



 

±³ÇÕÀ» Á¡Á¡ ´õ ¾ÈÁ¤½Ã۰í

±³ÇÕÀÌ ¾ÈÁ¤µÇ¸é¼­

Ä¡·á¸¦ ¹Þ´Â ȯÀںеµ

°¡¸¸È÷ ÀÖÀ» ¶§

ÀÔ¼úÀ» Àß ´Ù¹°°í, ÄڷΠȣÈíÇϰí

Çô´Â ÀÔõÀå¿¡ Àß ºÙÀ̰í ÀÖ´Â

ÁÁÀº

±¸°­±Ù±â´ÉÀÌ Çü¼ºµÈ °ÍÀ»

È®ÀÎÇÒ ¼ö ÀÖ¾ú½À´Ï´Ù.

ÀÌ·¸°Ô Çü¼ºµÈ ±¸°­±Ù±â´ÉÀÌ

¹è¿­µÈ Ä¡¾Æ¸¦ ±× À§Ä¡¿¡ Àß À¯ÁöµÇµµ·Ï

µµ¿ÍÁÙ °Í ÀÔ´Ï´Ù.

µåµð¾î ¸ðµç ±³Á¤Ä¡·á°¡ ³¡³ª°í

½ÉÇÑ ÁÖ°ÆÅÎ ¹× ½ÉÇÑ ºñ´ëĪÀÌ °³¼±µÈ °ÍÀ»

º¼ ¼ö ÀÖ½À´Ï´Ù.

ºñ¼ö¼ú ÁÖ°ÆÅÎ Ä¡¾Æ ±³Á¤,

ºñ¼ö¼ú ºñ´ëĪ Ä¡¾Æ ±³Á¤ ÀüÈÄÀÇ »çÁøÀÔ´Ï´Ù.

½ÉÇÑ ¹Ý´ë±³ÇÕÀÌ Àß °³¼±µÈ °ÍÀ»

º¼ ¼ö ÀÖ½À´Ï´Ù.


 

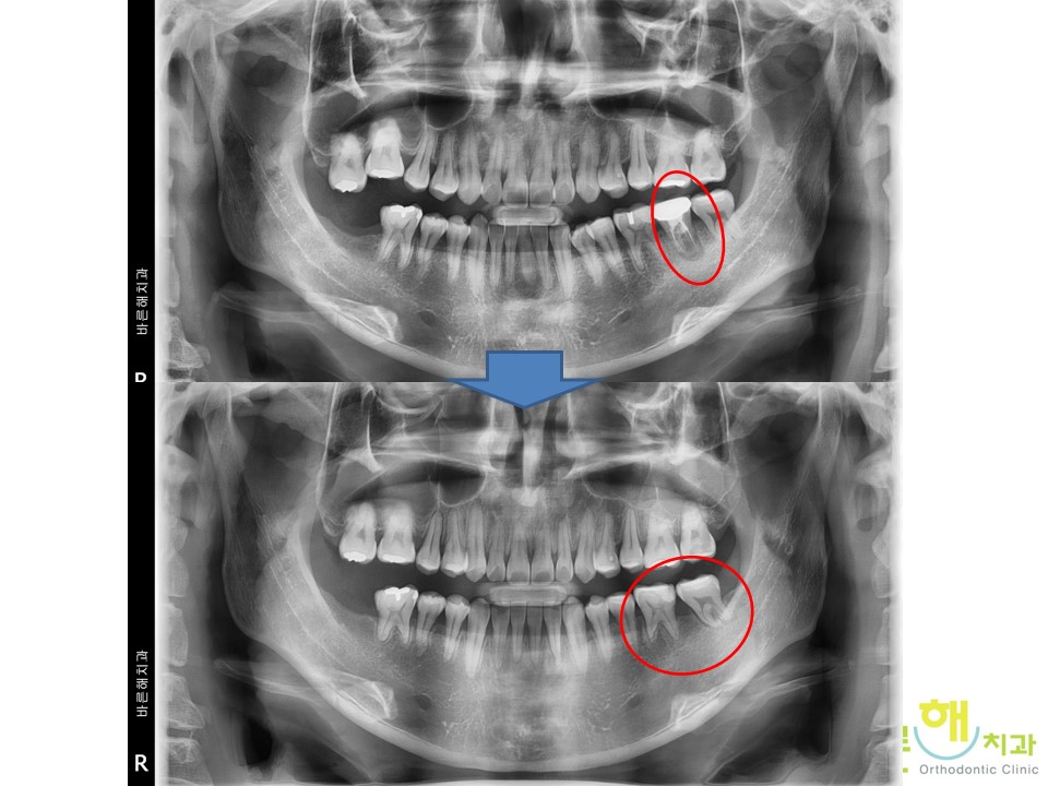
»¡°£ µ¿±×¶ó¹Ìó·³ ½ÉÇÑ ÃæÄ¡·Î

»ì¸± ¼ö ¾ø´Â Ä¡¾Æ¸¦ »©°í

µÚ¿¡ ÀÖ´Â »ç¶û´Ï¸¦ ²ø¾î¿Í¼­

»ç¿ëÇÒ ¼ö ÀÖ°Ô ÇÏ¿´°í

¸¹Àº ¿òÁ÷ÀÓÀÌ ÀÖ¾ú

Áö¸¸

Ä¡¾Æ´Â °Ç°­ÇÑ »óÅ·Î

Àß Ä¡·áµÈ °ÍÀ» º¼ ¼ö ÀÖ½À´Ï´Ù.

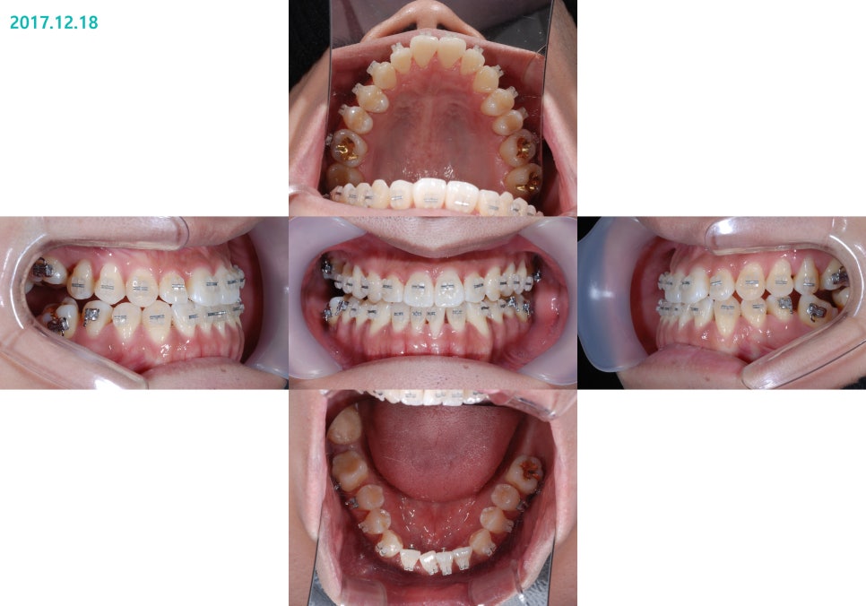
½ÉÇÑ ÁÖ°ÆÅÎ, ½ÉÇÑ ¾È¸éºñ´ëĪÀÇ

ºñ¼ö¼ú ÁÖ°ÆÅÎ ±³Á¤Ä¡·á Àü

ºñ¼ö¼ú ÁÖ°ÆÅÎ ±³Á¤Ä¡·á ÈÄÀÔ´Ï´Ù. 




ÀÌÀü±Û ¾È¸éºñ´ëĪġ¾Æ±³Á¤ ±¸°­±Ù±â´ÉÈÆ·Ã (MFT)¿Í ÇÔ²²
´ÙÀ½±Û ¾È¸éºñ´ëĪ Ä¡¾Æ±³Á¤ + °³¹æ±³ÇÕ Ä¡¾Æ±³Á¤